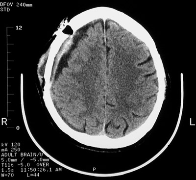
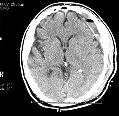
| A chronic subdural hematoma has been treated with evacuation of the organizing blood clot. The burr hole for the drain is drilled into the skull is seen on the right. In the view below of another case of chronic subdural hematoma following evacuation, the dark area near the hematoma on the left is air not yet resorbed following surgery. |
![]() |