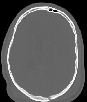
| This head CT scan in axial view is taken in "bone window" exposure which provides detail of the skull, but makes the intracranial contents appear blank. In this view can be seen a skull fracture as a consequence of the trauma that led to a subdural hematoma. |
![]() |