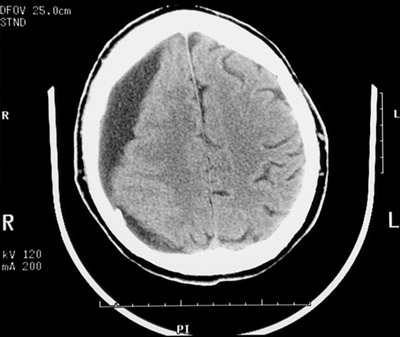
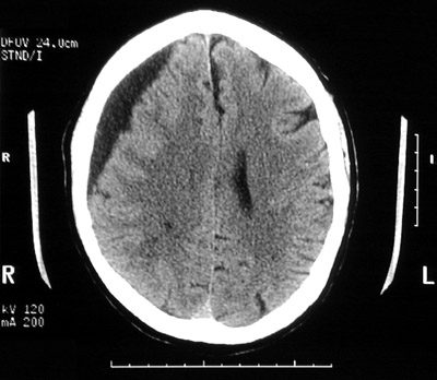
| There is a chronic subdural hematoma beneath the dura with a serrated edge interfacing with the underlying cortex. Note the effacement of the right lateral ventricular system. The view below is at a higher level near vertex. This older patient has some cerebral atrophy. |
![]() |