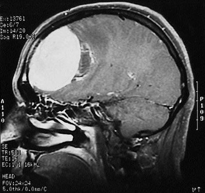
| This enhanced MRI scan in sagittal view demonstrates bright enhancement of a large meningioma in the parasagittal region. CNS neoplasms often enhance with contrast agents such as gadolinium. Despite the size, this tumor is amenable to surgical resection with minimal sequelae. |
![]() |