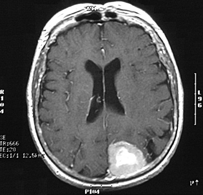
Here is a fast spin echo T2 weighted MRI scan in axial view that demonstrates bright central enhancement of a meningioma posteriorly near the falx.