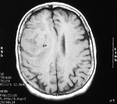
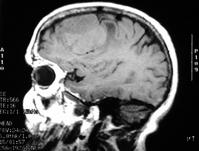
This MRI scan in axial view above and sagittal view below demonstrates a meningioma in the parasagittal region over frontal lobe.