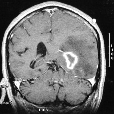
| This MRI scan in coronal view demonstrates a cerebral abscess with bright ring enhancement. There is cerebral edema in adjacent cortex as a consequence, resulting in a mass effect with effacement of the lateral ventricle on the left. Aspergillus was cultured. |
![]() |