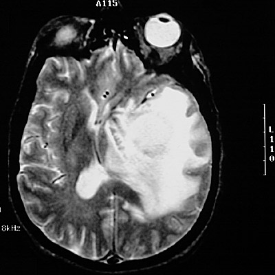
This T2 weighted MRI scan reveals a
cerebral abscess
caused by infection with Aspergillus that is obscured by the bright fluid of the
adjacent marked edema
.