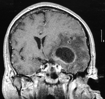
This MRI scan in coronal view demonstrates a
cerebral abscess
. There is
cerebral edema
. The mass effect has resulted in a
midline shift to the right
. Aspergillus was cultured.