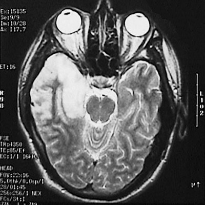
This T2 weighted cerebral MRI scan in axial view demonstrates markedly abnormal signal hyperintensity mainly in the right temporal lobe. This patient had a herpes simplex virus encephalitis.