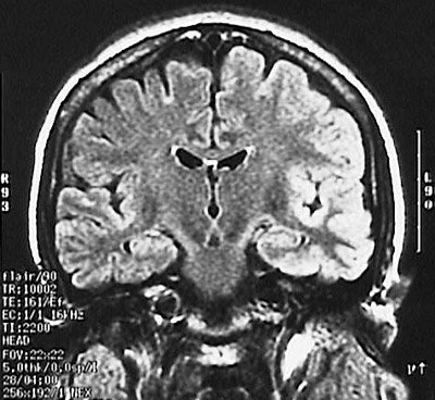
This cerebral MRI scan in coronal view demonstrates markedly abnormal signal hyperintensity, mainly in the left temporal lobe and adjacent insular cortex. This is consistent with a diffuse viral encephalitis.