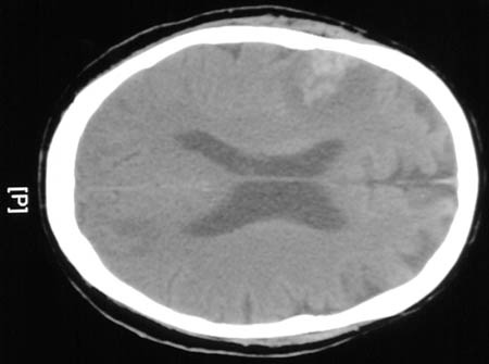
![]() | In this CT scan can be seen a lesion with central enhancement from hemorrhage and surrounding edema. This proved to be one of several foci of amebic encephalitis due to Acanthameba infection in a bone marrow transplant patient. CNS infection by free-living ameba, including Acanthameba and Naegleria, is rare but life-threatening. |
![]() |