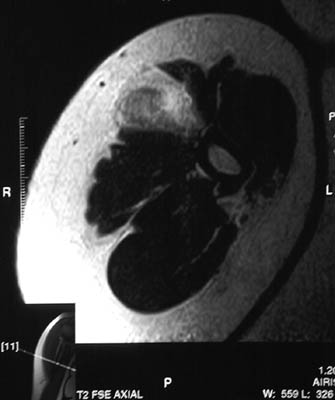
| This axial T2 weighted MRI scan shows a rounded tumor-like mass that is an area of myositis ossificans in skeletal muscle adjacent to the humerus. There is a central core of exuberant granulation tissue surrounded by a zone of reactive bone formation. The lesion appears as a discrete "hot spot" in soft tissue in the bone scan below. |
![]() |