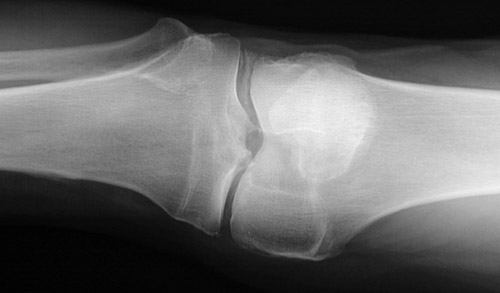
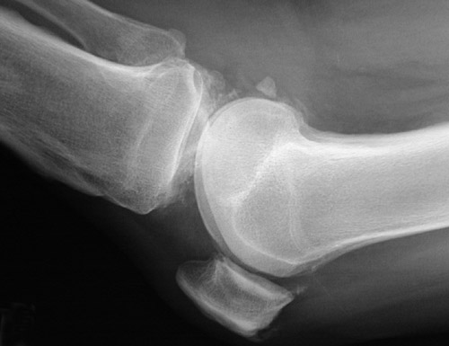
![]() | This series of knee radiographs reveals extensive chondrocalcinosis involving the menisci and articular cartilage. Note particularly the chondrocalcinosis of the meniscus above. Chondrocalcinosis is a condition related most to aging with calcium pyrophosphate dihydrate (CPPD) crystal deposition. The relationship to osteoarthritis is not clear, but CPPD disease can contribute to osteoarthritic changes, which are also present in these radiographic views. In the case shown here, bone density is not decreased. |
![]() |