 |
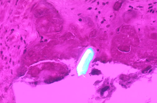
A rhromboid shaped crystal of calcium pyrophosphate dihydrate (CPPD) appears bluish-white (weak positive birefringence) by polarized light microscopy with a red plate. Calcium pyrophosphate crystal deposition disease (sometimes called "pseudogout") is most often seen in persons over the age of 50, and can lead to acute, subacute, or chronic arthritis of knees, wrists, elbows, shoulders, and ankles. The articular damage is progressive, though in most persons the disease is not severe. |