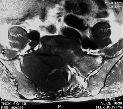
The large destructive mass seen here with oblique T1 weighted MRI scan above and T2 weighted scan below is a chordoma. It is arising in the sacrum and extending to the right.