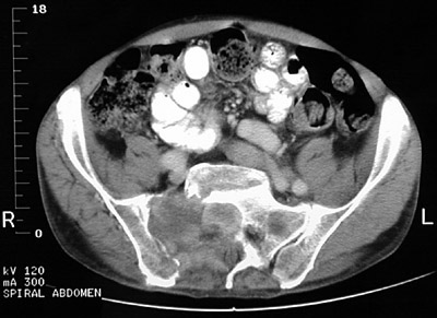
The large destructive mass arising in the region of the sacrum on the right is a chordoma. These locally destructive lesions most typically arise at the ends of the neuraxis--sacrococcygeal region and clivus (sella turcica).