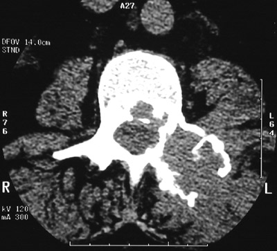
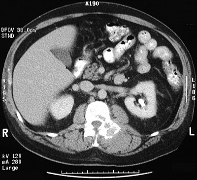
| The destructive, expansile lytic lesion seen above involving the L2 vertebral pedicle on the left with an abdominal CT scan is a solitary plasmacytoma. A closer CT view is shown below. In this case, there was no increase in serum IgG and no monoclonal "spike" on either serum or urine protein electrophoresis. |
![]() |