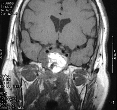
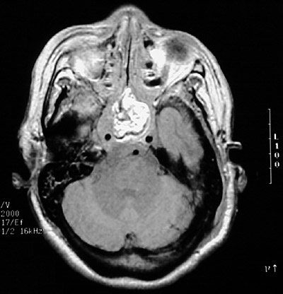
The region of the clivus (sella turcica) has a large destructive mass seen with T1 weighted MRI scan above and with gadolinium contrast in coronal and axial views below. This is a chordoma.