
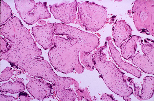
| There is marked involution of placental villi here because of prolonged fetal demise. Note the fibrosis of the villi. The villi are also quite small, even though this is a second trimester placenta. Such placental dysmaturity is a finding with prolonged demise. |
![]() |