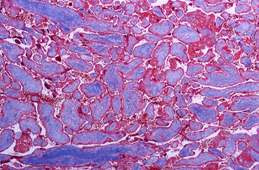
A trichrome stain demonstrates the fibrosis in the villi in this case of prolonged fetal demise. Syncytial knots may increase in number in the placenta during the first week following demise.