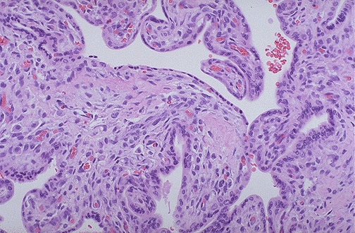
The placental villi here have increased pink
collagen
. This fibrosis here is a consequence of fetal demise.