
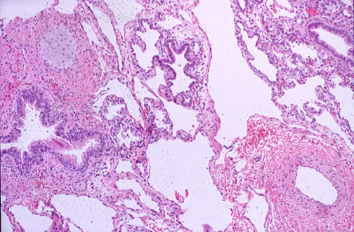
| The microscopic appearance of pulmonary extralobar sequestration (ELS) is seen here. There are irregular bronchi as well as dilated distal air spaces, some of which are lined by bronchial epithelium. The vascular arterial supply is systemic, not from the pulmonary artery, and so this portion of lung does not function in oxygenation. When such a sequestered segment lies within surrounding normal lung, it is called "intralobar sequestration". In either case, sequestered lung acts as a mass lesion, and it may become infected. |
![]() |