
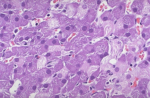
| Metabolic disorders can sometimes be diagnosed prenatally from fetal cells grown in culture and obtained by amniocentesis. Seen here are peculiar clear clefts in adrenal cortical cells which are inclusions of long chain fatty acids in a case of adrenoleukodystrophy which was diagnosed antenatally. |
![]() |