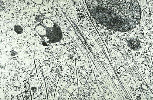
Electron microscopy reveals the long parallel inclusions of long chain fatty acids with adrenoleukodystrophy. This inborn error of metabolism has an X-linked pattern of inheritance, but most are autosomal recessive.