
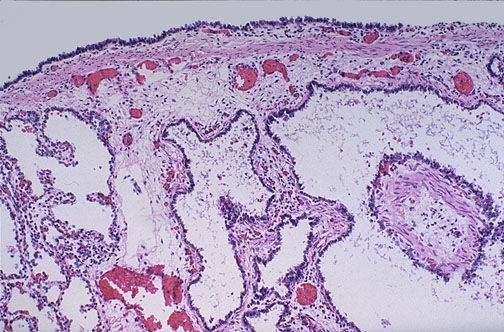
| The irregular cystic spaces lined by bronchial epithelium seen here were part of a lung mass known as congenital cystic adenomatoid malformation (CCAM). Though the lesion is benign microscopically (much like a hamartoma), it may act as a space-occupying lesion, resulting in pulmonary hypoplasia. Grossly, there can be large cysts (type I), small cysts (type II), or mainly a solid mass (type III). |
![]() |