
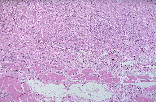
| This is another low grade lesion of soft tissue known as a desmoid tumor. These are aggressive fibroblastic proliferations that can occur in shoulder, chest wall, neck, and thigh in both men and women. In women during or just following pregancy, they may appear in abdominal wall. |
![]() |