
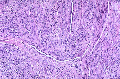
| Desmoid tumors are poorly demarcated and invade surrounding soft tissues, so they must be excised with a wide margin. Microscopically, they are composed of fibroblastic cells in a collagenous stroma. There can be some pleomorphism and a rare mitotic figure. |
![]() |