
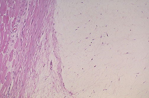
| This myxoma at the center and right is seen microscopically to be relatively acellular. Normal skeletal muscle and fascia appear at the left. The neoplasm is mostly composed of a "myxoid" material consisting of intercellular ground substances along with a few scattered spindle to stellate fibroblast-like cells. |
![]() |