
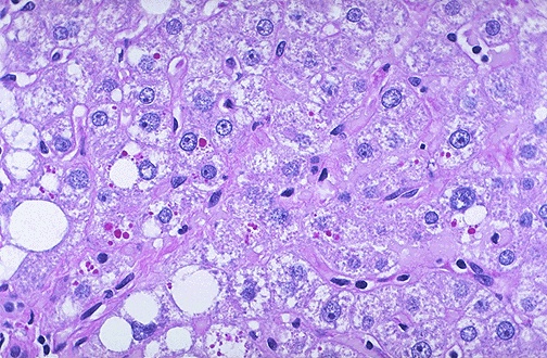
| The periportal red hyaline globules seen here with periodic acid-Schiff (PAS) stain are characteristic for alpha-1-antitrypsin deficiency (a person with homozygous pi-ZZ genotype may also be expected to have panlobular emphysema, while a pi-MZ person may just have liver disease). The globules are collections of alpha-1-antitrypsin not being excreted from hepatocytes. This may eventually lead to chronic hepatitis and cirrhosis. |
![]() |