
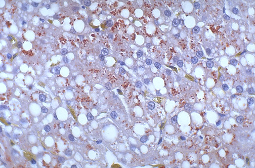
| The red-brown granular material seen here is excessive lysosomal copper in a patient with the rare autosomal recessive disorder Wilson disease. The ceruloplasmin that transports serum copper is quite low in Wilson disease, leading to excessive copper accumulation in brain, eye, and liver. CNS disease is most marked by neuronal degeneration of basal ganglia, especially putamen. Kayser-Fleischer rings are seen on slit-lamp examination of the cornea. Hepatic copper accumulation results in fatty change (seen here with cholestasis as well), acute hepatitis, chronic hepatitis, and eventual cirrhosis. Urinary copper excretion is increased. |
![]() |