
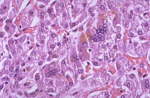
| Seen here is the major differential diagnosis of biliary atresia: this is neonatal giant cell hepatitis. There is lobular disarray with focal hepatocyte necrosis, along with giant cell transformation, lymphocytic infiltration, Kupffer cell hyperplasia, and cholestasis. Neonatal hepatitis may be idiopathic or of viral origin. Many neonates recover in a couple of months. |
![]() |