
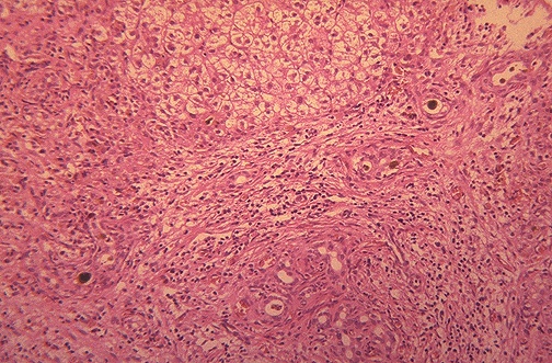
| Microscopically, extrahepatic biliary atresia leads to this appearance in the liver, with numerous brown-green bile plugs, bile duct proliferation (seen at lower center), and extensive fibrosis. If a large enough bile duct can be found to anastomose and provide bile drainage, then surgery can be curative. |
![]() |