
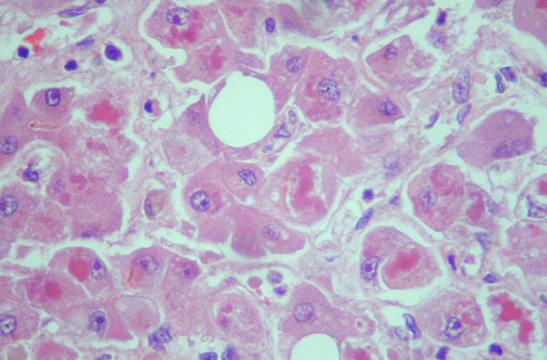
| At high magnification can be seen globular red hyaline material within hepatocytes. This is Mallory's hyaline, also known as "alcoholic" hyaline because it is most often seen in conjunction with chronic alcoholism. The globules are aggregates of intermediate filaments in the cytoplasm resulting from hepatocyte injury. |
![]() |