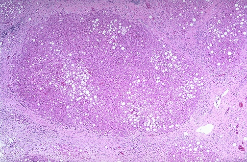
Micronodular cirrhosis is seen along with moderate fatty change. Note the regenerative nodule surrounded by fibrous connective tissue extending between portal regions.