
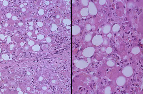
| Mallory's hyaline is seen here, but there are also neutrophils, necrosis of hepatocytes, collagen deposition, and fatty change. These findings are typical for acute alcoholic hepatitis. Such inflammation can occur in a person with a history of alcoholism who goes on a drinking "binge" and consumes large quantities of alcohol over a short time. |
![]() |