PBL Sessions: Vascular Diseases 2


Return to the Main Menu



Page 4

History of Present Illness:

A coronary angiogram is performed.

Figure 1: Coronary angiogram

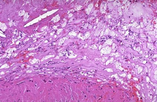
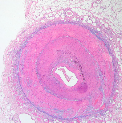
A representative section of his right coronary artery is shown:

Figure 2: Microscopic appearance of coronary artery at low magnification

Figure 3: Microscopic appearance of coronary artery at high magnification

A repeat fasting blood glucose is 120 mg/dL.

Tasks

  • What do these findings indicate?

  • What hypotheses explain these findings?

  • Explain your reasoning for the hypotheses you choose.

  • What learning issues are being identified?

Stop !! Complete discussions and tasks before moving to the next page.