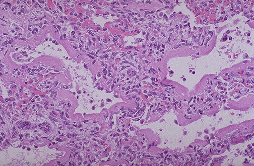
Image 4.1
The lungs are shown here? What do you see?