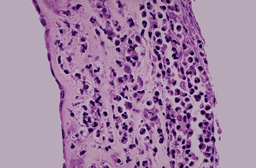
Image 4.2
The fetal membranes and cord are shown here. What is wrong?