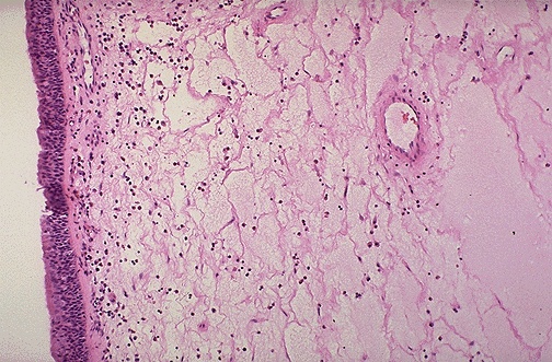
Image 8.2
As seen here at low power, there is overlying respiratory mucosa at the left, with an edematous stroma.