
|
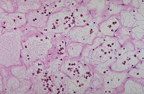
Image 8.3 At high magnification, the polyp has inflammatory cells in the edematous stroma. Seen here are many eosinophils, which are characteristic for allergic inflammatory responses. However, neutrophils, plasma cells, and occasional clusters of lymphocytes can also be seen. |
|