Image 3.2
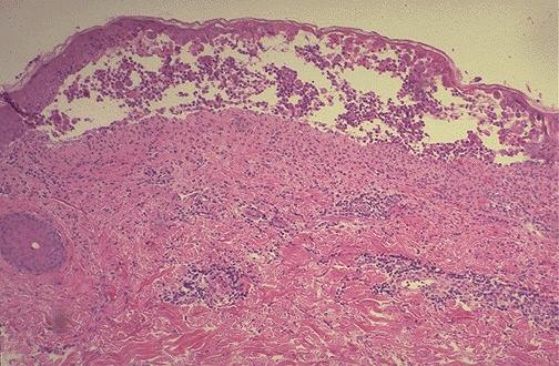
This is the low power microscopic appearance of the squamous epithelium at the edge of the lesion.