Image 3.3
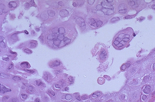
The lip lesion is seen here at high magnification. What changes are present?