
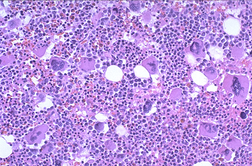
| A myeloproliferative process can involve the marrow, filling it up with abnormal cellular proliferations. There can be a proliferation of myeloid, erythroid, or megakaryocytic elements--or even all three. The process may continue on, "blast out" into a leukemia, or "burn out" into a myelofibrosis. Seen here are numerous megakaryocytes in an uncommon process called essential thrombocytosis in which peripheral platelet counts can exceed 1,000,000/microliter. |
![]() |