
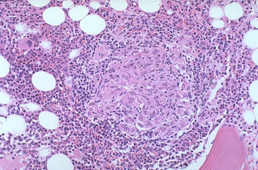
| Here is a granuloma in a bone marrow biopsy, a potential myelophthisic process. Granulomas in marrow tend to be small and poorly formed. This one consists mainly of epithelioid macrophages. Of course, multiple cultures and special stains are done to determine if there is an infectious etiology, such as a mycobacterial or fungal infection. In this case, no organism was demonstrated, and the clinical features fit with sarcoidosis. |
![]() |