
|
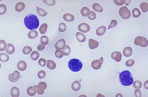
The WBC's seen here are lymphocytes, but they are blasts--very immature cells with larger nuclei that contain nucleoli. Such lymphocytes are indicative of acute lymphocytic leukemia (ALL). ALL is more common in children than adults. Many cases of ALL in children respond well to treatment, and many are curable.
Flow cytometry can be used to characterize populations of leukocytes in peripheral blood, biopsies, or aspirates. Cells to be analyzed are tagged with fluoroscein-labelled antibodies specific for a particular cellular antigen. In the flow cytometric analysis shown here, the major population of peripheral blood leukocytes is marking with both CD10 (CALLA) and CD19, characteristic for ALL. |
![]() |