
|
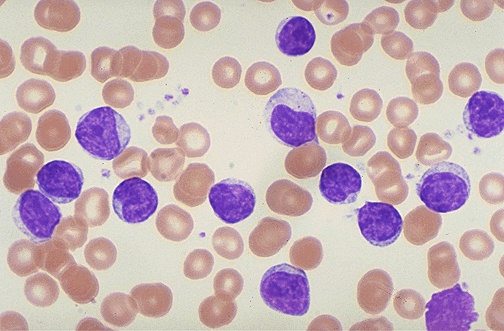
These mature lymphocytes are increased markedly in number. They are indicative of chronic lymphocytic leukemia (CLL), a disease most often seen in older adults. This disease responds poorly to treatment, but it is indolent.
Though CLL is a B cell proliferation, marking with CD19 and CD20, it is characterized by the presence of a T cell marker, CD5, as shown by flow cytometry here. |
![]() |