
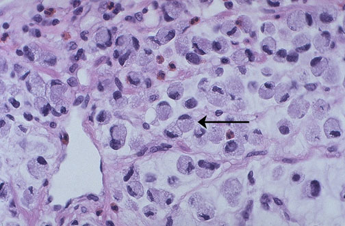
| This is a signet ring cell pattern of adenocarcinoma in which the neoplastic cells are filled with cytoplasmic mucin vacuoles that compress the nucleus to one side, as shown at the arrow. Signet ring cell adenocarcinomas are poorly differentiated and tend to be highly invasive. |
![]() |