
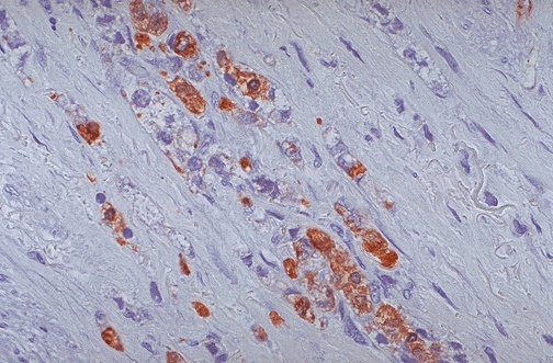
| This is an immunohistochemical stain with antibody to cytokeratin, which is positive in the poorly differentiated neoplastic cells seen here infiltrating through the gastric wall. Cytokeratin staining is typical for neoplasms of epithelial origin (carcinomas). |
![]() |