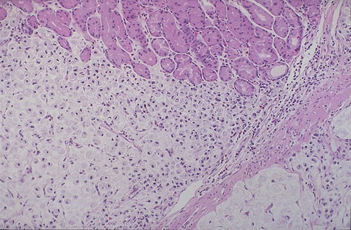
At medium power, normal gastric glands are seen at the top, and infiltrating signet ring cell adenocarcinoma is seen below. This histologic pattern is typical for the diffuse variant of gastric adenocarcinoma which is extensive and infiltrative.